Karin Apollonia Müller wurde in Heidelberg geboren. Sie erhielt ihr Diplom in Film und Fotografie an der Folkwangschule, Essen.
Sie erlangte zahlreiche Auszeichnungen und Stipendien, darunter das Villa Aurora Stipendium in der Feuchtwanger Villa, Pacific Palisades und das Getty/Calarts Stipendium, Los Angeles. Ihr Werk ist repräsentiert von Julie Saul Gallery in NY und Diane Rosenstein Gallery in Los Angeles. Ihre Arbeiten werden kontinuierlich in Einzel- und Gruppenausstellungen in Europa als auch den Vereinigten Staaten gezeigt. Sie sind zudem in öffentlichen Sammlungen enthalten wie dem Museum of Modern Art, New York; The Whitney Museum, New York; dem Los Angeles County Museum of Modern Art, Los Angeles so wie etlichen mehr. Der letzte Ankauf ging dieses Jahr an Sohohouse, London. Sie publizierte vier Monographien, Angels in Fall, On Edge, Timbercove und Gate.
Das grundlegendes Interesse ihrer künstlerischen Auseinandersetzung liegt in der Beziehung des Menschen zu seiner ihn umgebenden Landschaft. In ihren Arbeiten tauchen immer wieder zeitlose Fragen auf: Wer sind wir, was sind wir und wo sind wir?
Ihre frühen Arbeiten behandeln auf einer dokumentarischen Herangehensweise ihre Beobachtungen des Menschen zu seiner Umgebung, wie er doch verzweifelt versucht, sich in dieser zurechtzufinden und diese anzunehmen. Sie definiert den Begriff der „urbanen Landschaft“. Des weiteren beschäftigt sie sich mit dem Begriff der fundamentalen Landschaft. Hier begibt sie sich in eine eher unzivilisierte Natur bzw. Wildnis, um fundamentale Beziehungen der Dinge in der Natur zu verstehen.
In jüngster Zeit arbeitet Karin Apollonia Müller zudem mit gefundenem Foto Material sowohl aus dem makro- als auch mikroskopischen Bereich. Diese formale Herangehensweise erlaubt ihr, sich tiefer und intensiver mit dem Begriff des Verhältnisses des Menschen zu seiner physikalischen Welt zu beschäftigen. Es gibt ihr auch die Möglichkiet, in eine Welt der Imagination einzutauchen und dem Begriff von Eden näherzukommen.
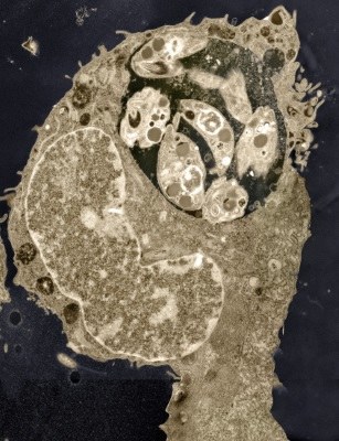
In ihrer aktuellen Recherche verringert sie den Abstand der Optik auf ein Minimum und man betritt die Welt einer einzelnen Zelle. Die Zelle enthält unsere Informationen. Sie weiß, wer wir sind und woher wir kommen. Mit diesen Zellbildern möchte sie Parallelevolutionen und Lebensformen, die ebenso hätten stattfinden können, visualisieren.
In Bangalore wird Karin Apollonia Müller sich weiterhin mit dem Begriff der „Landschaft“ und der Idee von „Eden“ beschäftigen - dieses Mal im Morgenland – gespannt auf neue Impulse und Bestimmung. Das endgültige Ergebnis der Residenz wird eine öffentliche Präsentation einer Choreographie sein. Darüber hinaus soll ein Screening mit den resultierenden Videos des Workshops während des von Natya STEM Dance Kampni organisierten Tanzfestivals, Anfang Dezember 2016, gezeigt werden.
Abschlussbericht
Zurück im deutschen Dezember über dumpfen, grauen Feldern, denkend an Bangalore
Und ich hab ihn nie gesehen, den Muezzin, doch habe ich ihn immer wieder gehört, 5 mal am Tag dröhnend aus allen Ecken, irgendwoher, besonders am Morgen, direkt vor Sonnenaufgang. Ich horchend. Allmählich hinzukommend das vereinzelte Morgenzwitschern von Vögeln und ein Schimmer von gelbem Morgenlicht. Schnell und bald wurden der Ruf des Muezzins und das Zwitschern der Vögel übertönt vom Brausen und Hupen der wieder startenden Autos, schnittigen Motorrädern und dampfenden Lastern. Nun war der Tag da. Die Sonne hoch über der Stadt. Mona, Mantras trällernd, schrubbt die Küche mit ihren gegerbten Händen und bereitet mir einen Chai Tee zu. Shanti Road liegt direkt an einer der befahrendsten, dicksten Strassen Bangalores mitten in der City. Ich erinnere mich an John Cages Gedanken: „The sound experience is the experience of silence.“ Ich nahm den Geräuschpegel positiv zum Anlass, ihn aufzunehmen und sammelnd für eine Soundstudie.
Und trotz des Lärms und Chaos gab es da das konstante, beindruckend sanfte, in sich ruhende Lächeln der Inder. Es gab mir Hoffnung und Geborgenheit, wie der tägliche, süss von Glanz, atemberaubende Sonnenuntergang. Hätte ich es nicht selbst erlebt, und hätte ich nicht jeden Tag meine Yogamatte ausgebreitet, wäre ich wohl wie eine deutsche Primel eingegangen. OM!
So war meine Erfahrung trotz aller Widrigkeiten gewaltig, farbenprächtig und mächtig. Der Sieg lag über dem äusseren Tag. Dem Fluss folgend, stapfte ich in eine akademisch, wissenschaftliche und eine kulturell, künstlerische Welt.
Schon lange setze ich mich mit der Beziehung des Menschen zu seiner Umgebung auseinander. Seit einiger Zeit interessiert mich, woher wir eigentlich kommen und wie die Welt entstanden ist. Das kann ich nicht fotografieren. Ich kann aber gefundenes fotografisches Material benutzen und dies zu meinen Vorstellungen umsetzen. So hatte ich die Idee, mit Zellbildern zu arbeiten. Zellen sind der Container all unserer Informationen. Das schwache Internet in Bangalore verriet mir, dass es einen National Center for Biological Sciences in Bangalore gibt.
Fasziniert und aufgeregt wandte ich mich an das Goethe Institut, das mir sofort einen grossartigen Kontakt zu NCBS herstellte. Schnell und schon am nächsten Tag traf ich dort Lena, die ihren Postdoc in der Zellforschung an Zebrabärlingen absolviert. Sie zeigte mir diese und wie sie laichen und wachsen, und machte mich mit anderen Forschern bekannt, die sich mit diesen Fischen, oder auch mit Drosophila oder Schmetterlingen beschäftigen.
Dann hatte ich einen Termin mit Dr. Varadharajan Sundaramurthy. Varadharajan, fein gekleidet in weissem Leinen und lila Plastikhandschuhen, war fasziniert von meinen Gedanken über die Welt, und meiner Idee, über Zellbilder einen Anfang unseres Kosmos darzustellen. Wie zwei neugierige Kinder sassen wir da und philosophierten. Aber da waren auch Ashish, Rajan und Lena, die mir mit grosszügiger Offenheit Elektronenmikroskopbilder zur Verfügung stellten.
Und Dank Aparna U. Banerjee konnte ich in einem der Gästehäuser übernachten, da die Anfahrt doch ziemlich lange dauerte. So genoss ich das Zirpen der Grillen in der Nacht und das morgendliche Schwimmen im Pool auf dem Campus. Nach dem Schwimmen gab es erst mal ein südindisches Frühstück mit einem traditionellen Masala Dosa, einer Art Pfannkuchen mit einer würzigen bis scharfen Kartoffelpasta. Gestärkt vertiefte ich mich wieder in wissenschaftliche Gespräche zwischen Reagenzgläsern, Mikroskopen und Objektträgern.
Nach einer guten Woche kehrte ich zurück zu Shanti Road. Dort sprachen Ich und mein Host Suresh, gekleidet in kostbarster schwarzer Seide und gepflegtem Bart, mit seinen tief dunkelbraunen Augen über Kultur und Kunst.
Erfreut über die Warmherzigkeit, Offenheit und Kooperation aller, denen ich in Bangalore begegnet bin, mag ich nun meine Notizen, Skizzen, Aufzeichnungen, Bilder, Farben, Gedanken und Zettel sortieren und ausarbeiten und bin nach Deutschland aufgebrochen - zurück an meinen Arbeitsplatz. Ein bisschen bin ich schon traurig. Aber meine Zeit und meine Neugier drängen.
Mein allerbester Dank gehen an das Goethe Institut, Direktor Christoph Bertram, Direktor Dr. Claus Heimes und Programm Koordinatorin Maureen Gonsalves, und an Shanti Road, Suresh Jayaram und Sandeep TK, an NCBS, Aparna U. Banerjee, Dr. Varadharajan Sundaramurthy, Ashish Dhayani, Rajan Thakur, Lena Robra und Shaistai für eine tolle Zusammenarbeit.